您的孩子也有磨牙問題嗎?
晚上睡覺時,「喀喀喀」的聲響不斷發出,同床的家長不免驚醒。仔細往小孩的嘴巴一看,才發現---孩子正在「磨牙」呢!有時,甚至會伴隨「打呼」出現。
在侯侯醫師的門診,詢問「磨牙問題」的兒童患者不在少數,有時也可看出牙齒因此產生了「磨痕」,家長不免為此擔心。
在侯侯醫師的門診,詢問「磨牙問題」的兒童患者不在少數,有時也可看出牙齒因此產生了「磨痕」,家長不免為此擔心。

示意圖:非磨牙孩童的牙齒形狀,是圓滿且完整的。

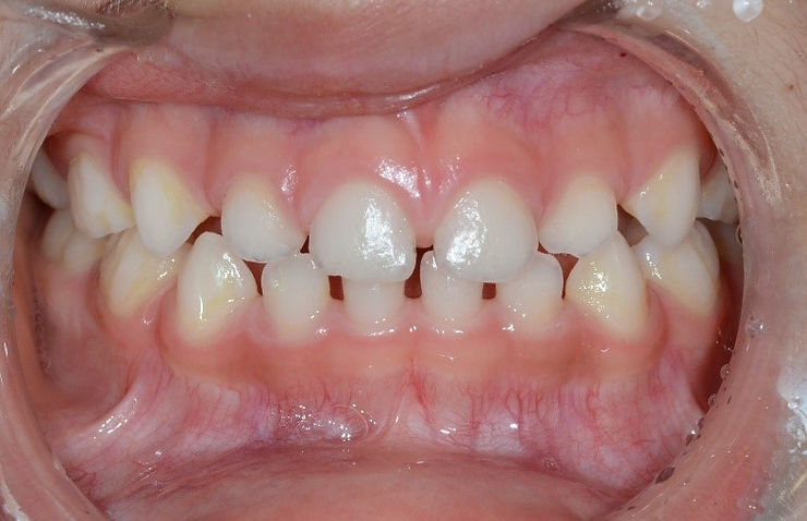
示意圖:「經常磨牙」之孩童的牙齒外觀
國外學者研究
國外許多學者發現,睡覺磨牙除了與腦神經性因素、情緒壓力有關之外,其實也與「睡眠呼吸障礙」息息相關。簡而言之,人類在睡眠時,因特定因素,導致呼吸不順暢,腦幹於是發出「求救訊號」(因為主人快窒息了),使得下顎下意識地來回移動,用以暢通呼吸道,就旁人看來,此現象被解讀為「磨牙」!而部分睡覺磨牙的孩子,最後被診斷為「睡眠呼吸中止症」。
磨牙背後「真正的問題」
有聽過冰山理論嗎?我們看到的冰山,其實頂部只有一點點,沉在海面下的冰山才是本體!孩子磨牙也只是冰山的「一角」,然而鼻過敏問題、口呼吸問題、咬合不正、口腔肌肉障礙問題,才是根本的問題!也是真正要重視並解決的!
此類磨牙孩童,並非精神壓力大,而是呼吸道狹窄/ 口呼吸/ 咬合不正/口腔肌肉失調等因素,導致睡覺呼吸不順暢,進而導致磨牙。
磨牙問題如何解決?
在牙科領域,患者首先要進行呼吸、肌肉、齒列狀況等評估。之後,若情況符合,我們會以肌功能矯正器、擴弓矯正裝置來治療這類兒童患者。患者同時也需進行口腔肌肉功能訓練,才能換來一夜好眠。短程目標是去除磨牙困擾,而長程目標有望改善患者的呼吸品質與過敏體質。

結語
磨牙問題不可怕,可怕的是---- 我們忽視它背後的問題。
侯侯醫師不只關心孩子的牙齒,也在乎孩子是否健康快樂長大。睡眠睡得好,才能長得高、情緒穩定、智力正常發展,衷心期盼每位孩子都能有個美好的睡眠。

參考文獻:
Sleep bruxism related to obstructive sleep apnea: the effect of continuous positive airway
pressure Sleep Med. 2002 Nov;3(6):513-5.
Sleep bruxism associated with obstructive sleep apnoea syndrome – A pilot study using a new
portable device. Revista Portuguesa de Pneumologia (English Edition)
Volume 23, Issue 1, January–February 2017, Pages 22-26
